ѪͿƬÆÀ¹ÀÊÇѪ³£¹æ¼ì²éµÄÖØÒª²¿·Ö£¬ÒòΪËü¿ÉÒÔÌṩ¹ØÓÚ¶¯ÎïºÍÑо¿¼²²¡µÄÓмÛÖµµÄÕï¶ÏºÍÔ¤ºóÐÅÏ¢¡£ÀíÏëÇé¿öÏ£¬Ã¿´ÎѪ³£¹æ¶¼Ó¦¸Ã×öѪͿƬ¼ì²é¡£ ¶¨ÆÚ×öѪͿƬ¿ÉÒÔʹҽÉú»ñµÃ´óÁ¿¾Ñ飺°üÀ¨¸üºÃµØÁ˽⶯ÎïÖ®¼äµÄÕý³£²îÒ죻ÔöǿѪͿƬ·ÖÎöÄÜÁ¦£¬´Ó¶ø¼õÉÙÒò³£¼ûÎÛȾºÍÑù±¾ÊÕ¼¯¡¢ÖƱ¸ºÍ´¢´æ¶øµ¼ÖµÄÈ˹¤Îó²î´øÀ´µÄ¹ý¶È½âÊÍÏÖÏó£»Ìá¸ßʶ±ðÒì³£ÐÎ̬µÄÄÜÁ¦£»Ìá¸ßÅжÏÒì³£ÏÖÏóÊÇ·ñÓÐÁÙ´²ÒâÒåµÄÄÜÁ¦¡£ ¼´Ê¹Ñª³£¹æËùÓÐÖ¸±ê¶¼Ôڲο¼Çø¼äÄÚ£¬Ò²¿ÉÒÔÔÚѪͿƬÉÏ·¢ÏÖÒì³£¡£±¾ÎÄÒÔÏÂÄÚÈÝÖеÄͼƬ¼°·ÖÎöÖ÷Òª¹Ø×¢ºìϸ°ûÐÎ̬¡£

AÓÐÃ÷ÏÔÔÙÉú¼£ÏóµÄÈ®ÃâÒ߽鵼ÐÔÈÜѪÐÔÆ¶Ñª¡£ Çò×´ºìϸ°û£¨ºÚÉ«´ø±ú¼ýÍ·£©Ìå»ý¸üС£¬ÑÕɫƫ°µµÄ·ÛºìÉ«£»ÓëÕý³£ºìϸ°ûÏà±È£¬ËüÃÇûÓÐÖÐÑë²Ô°×Çø£¨À¶É«¼ýÍ·£©¡£Æµ·±³öÏֵĴóÐͶàȾÐÔºìϸ°û£¨¶Ì¼ýÍ·£©±íÃ÷ÓÐÔÙÉú£¬ÀàËÆÓÚÍøÖ¯ºìϸ°û¡£ 
BÈ®Õý³£ÑªÍ¿Æ¬ µ¥²ãµÄÕý³£ºìϸ°û£¨À¶É«¼ýÍ·£©Ð¡ÓÚÖÐÐÔÁ£Ï¸°û²¢ÇÒÖÐÑë²Ô°×Çø½ÏС¡£Í¬Ê±¿É¹Û²ìµ½ÑªÐ¡°å£¨ºÚÉ«¼ýÍ·£©ºÍ·ÖÒ¶ÖÐÐÔÁ£Ï¸°û£¨¶Ì¼ýÍ·£©¡£ 
CèÕý³£ÑªÍ¿Æ¬ Óë¹·Ïà±È£¬Õý³£µÄèºìϸ°û£¨À¶É«¼ýÍ·£©¼¸ºõûÓÐÖÐÑë²Ô°×ÇøÓò¡£»¹¿ÉÒÔ¿´µ½ÑªÐ¡°å£¨ºÚÉ«¼ýÍ·£©£¬¾ßÓÐȾɫÖÊСÌ壨Howell-jolly body£©µÄºìϸ°û£¨·ÛºìÉ«¼ýÍ·£©£¬ÁܰÍϸ°û£¨¼ýÍ·£©¡£ 
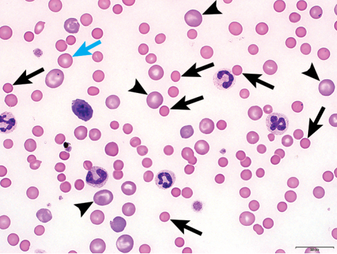
DÖ§ÔÌå¸ÐȾÒýÆðµÄÓ×èµÄÃ÷ÏÔÔÙÉúÐÔÆ¶Ñª ÕâÖ»Ó×èµÄѪϸ°û±ÈÈÝΪ4%£¬ÑªÍ¿Æ¬Ò²¿ÉÒÔ¿´³öºìϸ°û²»×ã¡£ºìϸ°ûÖпÉÒÔ¿´µ½Ð¡ºÅÇò¾ú£¨À¶É«¼ýÍ·£©£¬ÔÚÑÕÉ«½ÏdzµÄѪӰϸ°û£¨¼´ÓÉÓÚѪ¹ÜÄÚÈÜѪ¶øÊ§È¥ÄÚÈÝÎïµÄºìϸ°û£¬½öÁôÏÂϸ°ûĤºÍ¸½×ŵÄ΢ÉúÎºìÉ«¼ýÍ·£©¡£Í¨³£Çé¿ö£¬Ö§ÔÌå¸ÐȾµÄ²¡ÀýÖ÷ÒªÊÇѪ¹ÜÍâÈÜѪ£»È»¶ø£¬¸ù¾Ý×÷ÕߵľÑ飬ÔÚÑÏÖØ²¡ÀýÖУ¬Èç¹ûÓÐÃâÒßÇòµ°°×°ü¹üµÄºìϸ°û¿ÉÒÔ¼¤»îÃâÒßϵͳµÄÖØÒª×é³É²¿·Ö¡ª¡ª²¹Ìåϵͳ£¬¿ÉÄÜ»á³öÏÖ²»Í¬³Ì¶ÈµÄѪ¹ÜÄÚÈÜѪ£¨ÉÏÃæÍ¼Æ¬ÖÐѪӰϸ°ûµÄ´æÔÚÖ¤Ã÷ÁËÕâÒ»µã£©¡£²¹ÌåϵͳµÄÖ÷Òª¹¦ÄÜÊǸ¨Öú¿ìËÙºÍÖ±½ÓµÄ´Ý»Ù°Ðϸ°û»ò²¡ÔÌ塣Ƶ·±³öÏֵĴóºÅ¶àȾÐÔºìϸ°û£¨¶Ì¼ýÍ·£©ÊÇÔÙÉúµÄÖ¤¾Ý¡£Í¼Öл¹¿ÉÒԹ۲쵽ѪС°å£¨ºÚÉ«¼ýÍ·£©¡¢2¸öÖÐÐÔÁ£Ï¸°û£¬ÁܰÍϸ°û£¨¶¥²¿Öм䣩¡£ÖÎÁÆ·½·¨ÎªÊäѪºÍÇ¿Á¦Ã¹ËØ£¬×îÖÕÒÑ¿µ¸´¡£ 
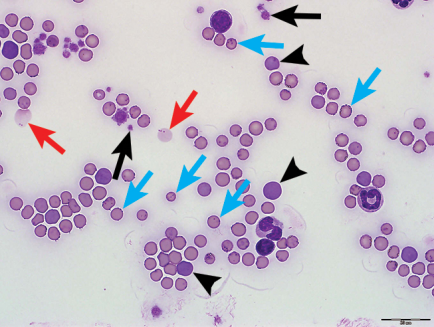
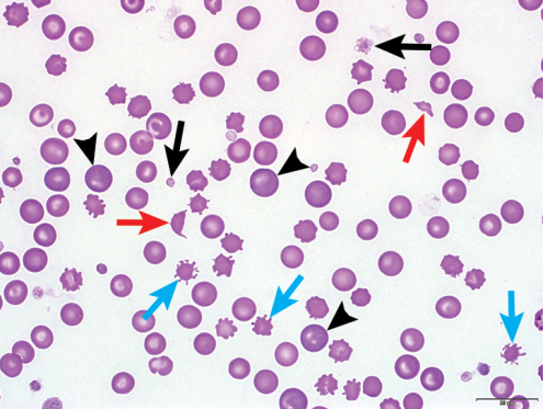
EѪ¹ÜÄÚÆ¤ÁöÒýÆðµÄÈ®ÔÙÉúÐÔÆ¶Ñª°éÓм¬Ðκìϸ°ûºÍÁѺìϸ°û µ±Í¬Ê±¹Û²ìµ½ÁѺìϸ°û£¨ºìÉ«¼ýÍ·£©£¬¼¬Ðκìϸ°û£¨À¶É«¼ýÍ·£©ºÍ´óµÄ¶àȾÐÔºìϸ°û£¨¶Ì¼ýÍ·£©Ê±Ó¦Ï뵽Ѫ¹ÜÁö¡£¼¬Ðκìϸ°û¿ÉÄܺÜÄÑÓ뼬ÐÎϸ°û£¨¼´ÖåËõºìϸ°û£©Çø·Ö¡£¼¬Ðκìϸ°û¾ßÓиüÃ÷ÏÔ¸ü¿íµÄ¶ÛÐÔ͹Æð£¬¿´ÉÏÈ¥Ïñ´¬½°»òÔÚÄ©¶ËÓжîÍâµÄÑÓÉì¡£»¹¿ÉÒԹ۲쵽ѪС°å£¨ºÚÉ«¼ýÍ·£©¡£ |